면역력과 호중구의 관계 – 우리 몸의 첫 번째 방어선
면역력과 호중구의 관계 – 우리 몸의 첫 번째 방어선
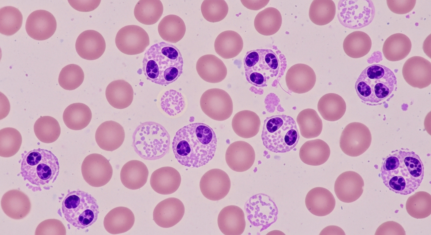
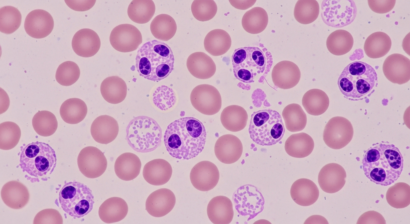
안녕하세요, 😊 오늘은 건강검진에서 종종 보게 되는 ‘호중구(Neutrophil)’와 우리 몸의 면역력의 깊은 관계에 대해 이야기해보려 해요. 호중구는 백혈구의 일종으로, 외부 세균이나 바이러스가 우리 몸에 침입했을 때 가장 먼저 출동하는 ‘전위대’ 같은 존재예요. 즉, 우리가 병에 걸리지 않게 지켜주는 면역력의 최전선이죠.
1️⃣ 호중구란 무엇일까?
우리 몸속의 혈액에는 적혈구, 백혈구, 혈소판이 존재합니다. 그중 백혈구는 면역 시스템의 핵심으로, 외부 침입자를 감지하고 제거하는 역할을 하죠. 백혈구는 다시 여러 종류로 나뉘는데, 그중 가장 많은 비중을 차지하는 것이 바로 호중구(Neutrophil)입니다. 전체 백혈구의 약 50~70%를 차지하며, 세균 감염이 생기면 가장 먼저 출동해 싸우는 ‘전사형 세포’예요.
호중구는 골수에서 생성되어 혈액을 타고 몸 전체로 이동합니다. 감염이 발생한 부위를 감지하면, 빠르게 모여들어 세균이나 이물질을 잡아먹고(포식 작용), 죽은 세포나 찌꺼기를 청소해 염증을 가라앉히는 역할을 해요.
2️⃣ 호중구가 하는 일 – ‘면역력의 전사들’
면역력은 단순히 비타민을 먹거나 잠을 잘 자는 것만으로 강화되는 게 아니에요. 우리 몸속의 호중구 활동이 원활해야 진짜 면역 체계가 제대로 작동합니다.
- ① 외부 세균 포식: 호중구는 세균을 직접 잡아먹는 역할을 해요. 마치 작은 진공청소기처럼 세균을 빨아들여 파괴합니다.
- ② 염증 반응 유도: 감염이 생기면 염증 물질을 분비해 다른 면역세포를 불러모아요. 이 과정이 바로 우리가 느끼는 ‘열’이나 ‘부기’의 원인입니다.
- ③ 손상된 조직 복구: 싸움이 끝난 후 남은 세포 찌꺼기를 청소하고 새로운 조직이 회복될 수 있도록 도와요.
결국, 호중구는 우리 몸의 즉각적 면역 반응(선천 면역)을 담당하는 핵심 세포입니다. 이 세포가 없다면 작은 상처에도 세균이 쉽게 침입하고, 단순 감기도 폐렴으로 악화될 수 있답니다.
3️⃣ 호중구 수치와 면역력의 상관관계
호중구 수치는 혈액검사를 통해 확인할 수 있어요. 보통 ‘백혈구 감별검사(WBC differential count)’에서 확인하며, 정상 수치는 다음과 같습니다.
| 구분 | 정상 범위 |
|---|---|
| 호중구 비율 (Neutrophil %) | 40~75% |
| 절대 호중구 수 (ANC) | 1,500 ~ 8,000 /μL |
이 수치가 너무 낮거나 높으면 면역력이 불안정하다는 신호일 수 있어요.
- 호중구 감소(Neutropenia): 1,500/μL 이하로 떨어지면 감염에 취약해집니다. 항암 치료나 바이러스 감염, 영양결핍 등으로 발생할 수 있어요.
- 호중구 증가(Neutrophilia): 8,000/μL 이상이면 급성 염증, 세균 감염, 스트레스, 스테로이드 복용 등의 영향을 의심할 수 있습니다.
4️⃣ 호중구가 약해지면 나타나는 증상들
호중구 수치가 떨어졌을 때 몸은 즉시 반응합니다. 대표적인 증상은 다음과 같아요.
- 작은 상처가 잘 낫지 않음
- 구강 내 염증, 잇몸 통증, 구내염
- 피로감과 미열 지속
- 감기나 폐렴 같은 감염에 자주 걸림
- 피부에 농양(고름)이 잘 생김
이런 증상이 반복된다면, 단순 면역 저하가 아니라 호중구 수치 불균형 때문일 수도 있습니다.
5️⃣ 면역력을 높이는 호중구 관리법
호중구는 생명 유지에 꼭 필요한 세포지만, 일상 속 관리만으로도 충분히 회복할 수 있습니다. 다음의 생활습관은 호중구 건강에 도움이 돼요.
1. 충분한 수면
하루 7~8시간의 숙면은 면역세포의 회복에 직접적인 도움을 줍니다. 수면 부족은 호중구 활성도를 떨어뜨리고 염증을 악화시킵니다.
2. 단백질 섭취
호중구는 단백질 합성 과정에서 만들어지므로, 닭가슴살, 달걀, 두부, 콩류 같은 단백질 식품을 충분히 섭취해야 합니다.
3. 항산화 영양소 섭취
비타민 C, E, 아연, 셀레늄 등은 호중구가 세균을 파괴할 때 생기는 활성산소로부터 몸을 보호해줍니다. 과일, 채소, 견과류를 골고루 먹는 것이 중요해요.
4. 스트레스 관리
만성 스트레스는 코르티솔 수치를 높여 호중구 생성을 억제합니다. 명상이나 가벼운 산책으로 마음의 긴장을 풀어주는 것이 좋습니다.
5. 적당한 운동
과격한 운동보다는 꾸준한 유산소 운동이 호중구의 순환과 활성도를 높입니다. 하루 30분의 걷기만으로도 충분한 효과가 있어요.
6️⃣ 호중구 수치가 계속 비정상이라면?
호중구 수치가 지속적으로 낮거나 높을 경우, 단순 피로의 문제가 아닐 수 있습니다. 특히 장기간 수치가 변하지 않거나 감염이 반복된다면 다음과 같은 검사를 추가로 권장합니다.
- 골수 검사 (Bone marrow biopsy)
- 면역기능 검사 (Immunoglobulin test)
- 영양 상태 검사 (Vitamin B12, 엽산 등)
- 만성 염증성 질환 검사 (류머티즘, 자가면역질환 등)
필요 시 전문의의 처방에 따라 G-CSF(호중구 촉진 인자) 주사 치료를 진행하기도 합니다.
7️⃣ 호중구와 면역력의 균형이 중요한 이유
면역력은 단순히 ‘강해야 좋다’는 개념이 아닙니다. 면역이 지나치게 강하면 자가면역질환을 일으킬 수 있고, 너무 약하면 감염에 쉽게 노출돼요. 호중구 역시 마찬가지로, 균형이 핵심이에요.
예를 들어 호중구가 너무 많으면 조직 손상이나 염증이 과도해져, 만성질환으로 이어질 수 있습니다. 반대로 너무 적으면 세균 감염이 반복돼 회복이 더디죠. 따라서 정기적인 혈액검사를 통해 수치를 체크하고, 평소 면역 밸런스를 유지하는 것이 무엇보다 중요합니다.
💡 정리하며
호중구는 단순한 세포가 아닙니다. 우리가 감기, 염증, 세균 감염으로부터 버틸 수 있는 보이지 않는 방패예요. 면역력이라는 단어를 건강식품 광고에서만 보던 시대는 지났습니다. 이제는 내 몸 속의 면역 시스템을 스스로 이해하고, 호중구의 건강을 챙기는 것이 진짜 면역력 관리의 시작입니다.
오늘부터는 혈액검사 결과에서 ‘호중구’ 수치를 꼭 한 번 확인해보세요. 그 작은 숫자 안에, 여러분의 면역력 상태가 그대로 담겨 있으니까요 😊
📌 태그
#호중구 #면역력 #백혈구 #감염예방 #혈액검사 #호중구수치 #면역세포 #건강관리 #면역력높이는방법 #호중구감소증
